En la clínica dental Sofía Cortés en Valencia, nos especializamos en brindar soluciones estéticas y funcionales para mejorar la salud y apariencia de tu sonrisa. Uno de los problemas más comunes que afectan la estética dental son los triángulos negros dentales, esos pequeños espacios vacíos que aparecen entre los dientes y que pueden resultar antiestéticos. En este artículo, te hablaremos sobre qué son estos triángulos negros, por qué se forman y cómo podemos corregirlos utilizando carillas dentales.
¿Qué son los triángulos negros entre los dientes?
Los triángulos negros, también conocidos como triángulos gingivales, son pequeños espacios vacíos que se forman entre los dientes cuando la encía no cubre completamente el espacio interproximal, es decir, la zona entre los dientes. Normalmente, estos espacios están cubiertos por encía, pero diversos factores pueden hacer que esta se retraiga o pierda volumen, lo que deja al descubierto esos huecos.
Estos espacios, aunque no representan un problema grave de salud, pueden afectar la estética de la sonrisa, dando una apariencia envejecida o descuidada. Además, los triángulos negros pueden ser áreas propensas a la acumulación de placa bacteriana, lo que incrementa el riesgo de sufrir problemas como caries o enfermedades periodontales.
Causas comunes de los triángulos negros dentales
Existen varias razones por las que pueden aparecer triángulos negros entre los dientes. Algunas de las más comunes incluyen:
- Recesión gingival: La pérdida de tejido de las encías, conocida como recesión gingival, es una de las causas principales. Esto puede ocurrir debido a una higiene dental inadecuada, enfermedades periodontales, o incluso el envejecimiento natural.
- Tratamientos de ortodoncia: Después de un tratamiento de ortodoncia, como el uso de brackets o alineadores, los dientes pueden realinearse, lo que a veces provoca la aparición de estos huecos.
- Forma de los dientes: Algunas personas tienen dientes con formas triangulares o cónicas, lo que aumenta la probabilidad de que se formen espacios visibles entre ellos.
- Pérdida ósea: Enfermedades como la periodontitis pueden causar pérdida ósea alrededor de los dientes, lo que afecta el soporte de las encías y contribuye a la formación de los triángulos negros.
- Mala técnica de cepillado: El cepillado agresivo puede dañar las encías y favorecer su retracción con el tiempo.
¿Cómo afectan los triángulos negros a tu sonrisa?
Los triángulos negros no solo afectan la estética de la sonrisa, sino que también pueden generar inseguridad y afectar la confianza en uno mismo. Muchas personas que sufren de este problema evitan sonreír o hablar en público, preocupadas por la apariencia de sus dientes. Además, como hemos mencionado anteriormente, estos espacios son propensos a la acumulación de bacterias, lo que aumenta el riesgo de caries y enfermedades de las encías.
Carillas dentales: la solución estética perfecta para los triángulos dentales
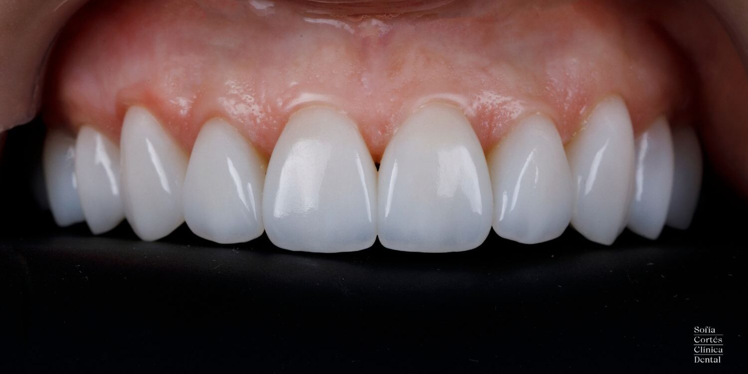
En la clínica dental Sofía Cortés, ofrecemos una solución rápida, segura y efectiva para los triángulos negros dentales: el uso de carillas dentales. Las carillas son finas láminas de porcelana o composite que se colocan sobre la superficie frontal de los dientes para mejorar su apariencia.
Este tratamiento no solo corrige los triángulos negros, sino que también puede mejorar otros aspectos estéticos como el color, la forma o el tamaño de los dientes. En el caso específico de los triángulos negros, las carillas se diseñan para cerrar esos huecos, proporcionando una sonrisa más uniforme y estética.
Ventajas del tratamiento con carillas para triángulos negros
El uso de carillas para corregir los triángulos negros ofrece múltiples beneficios:
- Resultados inmediatos: Con las carillas dentales, los resultados son visibles inmediatamente después del tratamiento. Desaparecen los espacios antiestéticos, y la sonrisa luce más completa y armoniosa.
- Mejora de la autoestima: Una sonrisa más estética y uniforme puede incrementar la confianza y mejorar la calidad de vida de quienes padecen de triángulos negros.
- Personalización: Las carillas se diseñan de forma personalizada, adaptándose al color y la forma de los dientes naturales para lograr un resultado lo más natural posible.
- Durabilidad: Las carillas de porcelana, especialmente, son altamente duraderas y resistentes a las manchas, por lo que ofrecen una solución a largo plazo.
- Mínima invasión: Colocar carillas es un procedimiento poco invasivo en comparación con otros tratamientos estéticos, ya que no requiere grandes intervenciones en los dientes.
Especialistas en carillas dentales en Valencia
En la clínica dental Sofía Cortés, en Valencia, entendemos lo importante que es para nuestros pacientes sentirse bien con su sonrisa. Los triángulos negros dentales pueden afectar tanto la estética como la confianza de una persona, pero gracias a las carillas dentales, ofrecemos una solución rápida, efectiva y duradera para este problema. Si estás considerando mejorar la apariencia de tu sonrisa, no dudes en contactarnos para una consulta personalizada. ¡Tu sonrisa perfecta está a solo un paso!
Antes y después de diseño de sonrisas en Valencia

Asesoría Personalizada
Rellena el formulario y nos pondremos en contacto contigo lo antes posible para resolver tus dudas y ofrecerte un presupuesto sin compromiso.











